樋之口歯科クリニック 治療の流れ
Step1 初診カウンセリング
まずみなさまのお話をじっくり伺います。
どのような症状があって、どのようなお悩みがあるのかをお話ください。
Step2 5段階治療スケジュールの説明
当院では、みなさまといっしょに最適な治療を行っていくために5段階治療スケジュールを行っています。こちらの内容をご理解していただくまで、丁寧に説明いたします。
Step3 治療開始
症状にあわせて、プラークコントロールやスケーリングなどの処置を行います。
Step4 治療継続・経過観察
症状によっては複数回通院していただくこともありますが、根気強く治療を続けていきましょう。
Step5 メンテナンスについての説明~定期健診のご案内~
治療が終了したら、それで終わりではありません。治療後のメンテナンスの方法や、継続したお口の健康のために、定期検診のご案内をいたします。
症例
あなたは口の中の健康に興味がありますか?
丁寧な応対などで相談しやすい雰囲気づくりをしているので、お口のお悩みをお持ちの方、治療をお考えの方は一度当院へお越しください。
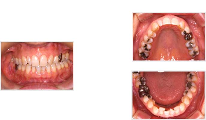
処置前
治療後

こちらは60代女性の方のお口の中の写真です。
治療前後で、明らかにお口の中がキレイになっているのがお分かりでしょうか?
この方は、ご自身のお口の中に興味を持たれ、今の自分のお口の中の状況をしっかりと理解し、もっともっとキレイにしたい!と、治療を熱心に行われた方です。
あなたはご自身のお口の中をじっくり鏡で見たことはありますか?
一緒にもっとお口の中をキレイにしてみませんか?
口の中が健康であること、それは歯肉から出血しない虫歯がない、咬み合わせが良いetc…
様々な要素があります。まずはあなたの口の中に興味をもって頂き「もっとキレイにしたい!」「より健康でありたい!」などの思いをおきかせください。






